Treine em cenários reais para aprimorar sua precisão.
O Simulador Pro Phantom Jugular CV foi desenvolvido para treinamentos de Acesso Venoso Central, inserção de Marca-Passo e passagem de cateter Swan Ganz.
Excelente para usar pontos de referência externas tradicionais, o procedimento utilizando a técnica de Seldinger pode ser feito da forma convencional ou guiada por ultrassom.


Visualize e sinta tudo
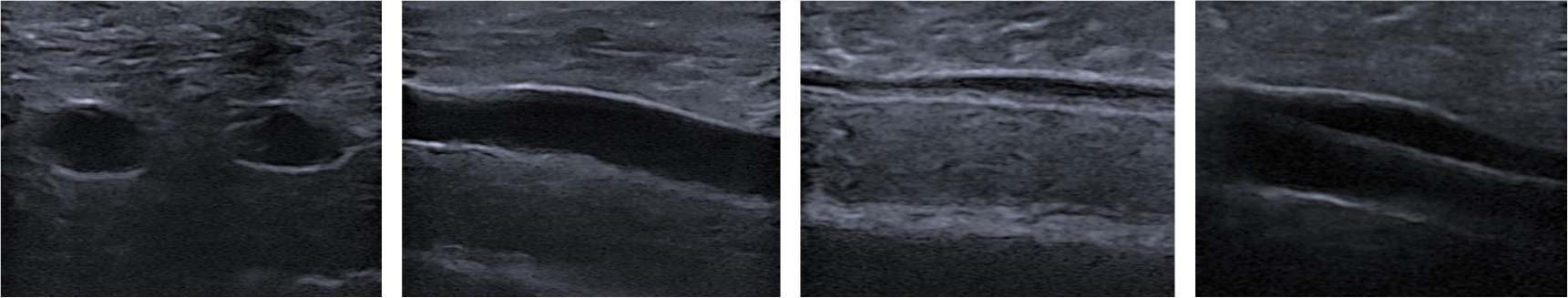
Sua anatomia representa de forma realística as texturas de pele e reproduz fielmente as propriedades acústicas na região jugular, podendo ser observados internamente seus tecidos e veias por meio de equipamentos de ultrassonografia.
A pulsação arterial pode ser simulada por compressão da seringa acoplada ao boneco.
Na Artéria pode-se identificar sua pulsação e resistência a compressão.
A Veia Jugular poder ser colabada e puncionada, sendo possível sua aspiração e injeção.

Pratique e visualize os diferentes procedimentos intravenosos
A passagem de Cateter Venoso Central pode ser acompanhada por todo o caminho desde a Jugular até a entrada do Átrio Direito.

A passagem de Marca-Passo pode ser acompanhada por todo o caminho desde a Jugular até o Ventrículo Direito.

A passagem de Cateter Swan Ganz pode ser acompanhada por todo o caminho desde a Jugular, passando pelo Átrio e Ventrículo Direitos até ser encunhado na Artéria Pulmonar.


Especificações
- Maleta para transporte
- Boneco Anatômico
- Módulo de treinamento
- Kit Cateter Venoso Central
- Recipiente com recarga de sangue venoso
- Recipiente com recarga de sangue arterial
Dimensões e Peso do Simulador
12x32x24 cm (AxLxP)
2,5 kg
Dimensões e Peso com Embalagem
18x16x35 cm (AxLxP)
6 kg
Os módulos de reposição e seus acessórios estão disponíveis separadamente em nossa loja.
